Πολλές μελέτες συσχετίζουν μια συχνά σεξουαλικά μεταδιδόμενη λοίμωξη, τις τριχομονάδες, με τον καρκίνο του προστάτη. Οι ερευνητές πλέον υποστηρίζουν ότι οι πιθανότητες εμφάνισης του συγκεκριμένου καρκίνου αυξάνονται στους άνδρες που έχουν μολυνθεί.
Το παρασίτου Trichomonas vaginalis που προκαλεί την τριχομονίαση (τριχομονάδες), εκκρίνει μια πρωτεΐνη που διεγείρει την ανάπτυξη των κυττάρων του προστάτη και επίσης προκαλεί μια φλεγμονώδη αντίδραση, η οποία οι ερευνητές υποψιάζονται ότι ενισχύει την εξαλλαγή των κυττάρων σε καρκινικά κύτταρα, καθώς και ότι βοηθάει τα κύτταρα του καρκίνου του προστάτη να μεγαλώσουν και να αναπτυχθούν ταχύτερα. Επίσης διαπιστώθηκε ότι οι άνδρες με αντισώματα έναντι του T. vaginalis είχαν διπλάσιες πιθανότητες να αναπτύξουν μια επιθετική μορφή καρκίνου του προστάτη που κάνει μεταστάσεις.
Οι μελέτες έδειξαν ότι οι μολυσμένοι άνδρες έχουν 40% περισσότερες πιθανότητες να αναπτύξουν καρκίνο του προστάτη.
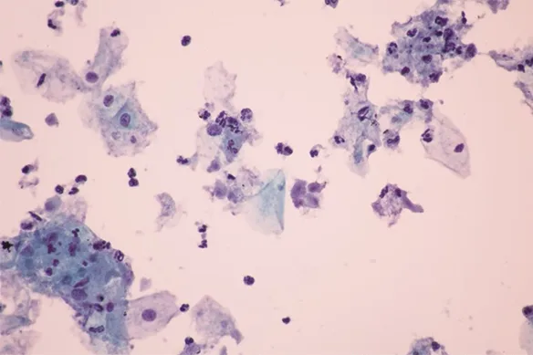
«Προκαλούμενη από το ένα μικροσκοπικό, μονοκύτταρο πρωτόζωο-παράσιτο, το Trichomonas vaginalis, η τριχομονίαση (τριχομονάδες), είναι μία από τα συχνότερα σεξουαλικά μεταδιδόμενα νοσήματα.
Σύμφωνα με τον Παγκόσμιο Οργανισμό Υγείας οι φορείς της είναι περίπου 275 εκατομμύρια άνθρωποι παγκοσμίως, εκ των οποίων οι περισσότεροι από τους μισούς είναι άνδρες. Ο καρκίνος του προστάτη είναι ο δεύτερος συνηθέστερος καρκίνος στους άνδρες και αντιπροσωπεύει περίπου το 8% του συνόλου των νέων περιπτώσεων καρκίνου. Σύμφωνα με μελέτες, 1 στις 5 νέες διαγνώσεις καρκίνου στους άνδρες θα αφορά στον καρκίνο του προστάτη.
Η τριχομονίαση όμως είναι μια εύκολα ιάσιμη νόσος, λαμβάνοντας αντιβιοτικά. Το πρόβλημα βέβαια είναι ότι δεν παρουσιάζει συμπτώματα στους περισσότερους άντρες.
Είναι όμως δύσκολο να διαγνωστεί γιαυτό και η χρήση προφυλακτικών μέτρων κατά τη σεξουαλική πράξη μπορεί να προστατεύσει από τη μετάδοση της νόσου.
Τα συμπτώματα,εφόσον υπάρξουν , είναι ο κνησμός ή ο ερεθισμός στο πέος, η αίσθηση καύσου μετά από την ούρηση ή την εκσπερμάτιση, η συχνουρία και η δυσουρία ή έκκριση υγρού. Στις γυναίκες αντίστοιχα τα συμπτώματα μπορεί να παρατηρήσουν κνησμό, αίσθηση καύσου, ερυθρότητα ή πόνο στα γεννητικά όργανα, δυσφορία στην ούρηση ή εκκρίσεις.
Ο εντοπισμός και η έγκαιρη διάγνωση μπορεί να προστατεύσει τους άνδρες από τη μετάδοση της νόσου».
