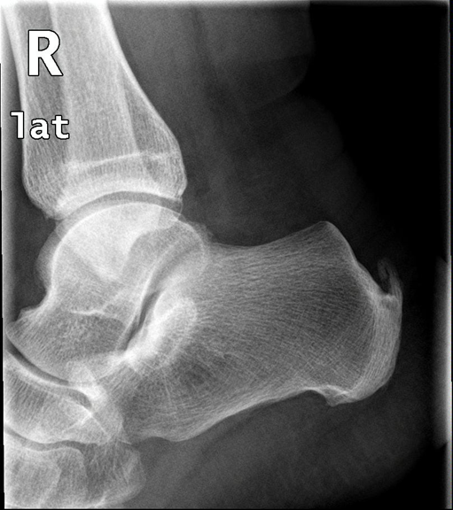
Πρόκειται για πάθηση που αναπτύσσεται στην κατάφυση του αχιλλείου τένοντα στο πίσω μέρος της πτέρνας. Η περιοχή είναι συνήθως ιδιαίτερα επώδυνη και διογκωμένη λόγω υπερόστωσης (οστικής υπερτροφίας) στην κατάφυση του αχιλλείου. Τα ενοχλήματα μπορεί να συνδυάζονται με πόνο στην περιοχή της πελματιαίας απονεύρωσης. Η πάθηση συχνά συνοδεύεται από τενοντίτιδα του αχιλλείου που καθιστά την θεραπευτική προσέγγιση δυσκολότερη.
Στα αρχικά στάδια η αντιμετώπιση είναι συντηρητική και συνίσταται σε ανύψωση της πτέρνας με μαλακά υποπτερνίδια, αντιφλεγμονώδη από του στόματος, φυσιοθεραπείες – με χειρισμούς και μηχανήματα. Η θεραπεία ενδέχεται να διαρκέσει μήνες.
Οι ανθιστάμενες στη συντηρητική θεραπεία περιπτώσεις έχουν ένδειξη για χειρουργική αντιμετώπιση. Η κατάφυση του αχιλλείου αποκολλάται, η υπερόστωση αφαιρείται, ο αχίλλειος επανακαθηλώνεται συνήθως με διοστικές άγκυρες, και αν υπάρχει χρονία τενοντίτιδα του αχιλλείου μπορεί να χρησιμοποιηθεί ένας τένων από του καμπτήρες του άκρου ποδός (συνήθως ο μακρός καμπτήρας του μεγάλου δακτύλου) για ενίσχυση.
Η χειρουργική επέμβαση προϋποθέτει ολιγοήμερη παραμονή στο νοσοκομείο και ακινητοποίηση και αποφόρτιση του σκέλους επί λίγες εβδομάδες.






